Morphological changes in the stomach when using a complex of aluminum hydroxide and inulin in experi-mental gastritis in rats
- Authors: Sherstobitov R.A.1, Tsygansky R.A.1
-
Affiliations:
- Stavropol State Agrarian University
- Issue: Vol 10, No 1 (2025)
- Pages: 47-53
- Section: VETERINARY MEDICINE AND ZOOTECHNICS
- URL: https://bulletin.ssaa.ru/1997-3225/article/view/636415
- DOI: https://doi.org/10.55170/1997-3225-2025-10-1-47-53
- ID: 636415
Cite item
Full Text
Abstract
The aim of the research was to study morphological changes in the stomach when using a complex of aluminum hydroxide and inulin in experimental gastritis in rats. The animals were divided into two experimental groups, with 20 non-inbred rats of both sexes in each group. The experiment consisted in the preliminary provocation of erosive and ulcerative gastritis in two groups of rats, by a single oral administration of indomethacin at a dose of 20 mg / kg. Animals from the first group were injected with 1 ml of tap water 2 times a day, daily, for 6 days, they served as a control. The second group of animals received a mixture of 50 mg of aluminum hydroxide and 50 mg of inulin 24 hours after a single injection of indomethacin, which was diluted in 1 ml of tap water. The complex of aluminum hydroxide and inulin was administered orally 2 times a day for 6 days. Euthanasia was performed on 10 rats from each experimental group on days 3 and 6. Histological material was obtained from different parts of the stomach (cardiac, stomach floor, stomach body and pyloric section), fixed in 10% formalin, in a ratio of 1:10, poured into paraffin, sections (3-4 microns) were made on a rotary microtome, applied to glasses with an adhesive coating (egg albumin), stained with eosin and hematoxylin and was evaluated by light microscopy. Digital images of histopreparations were obtained using an AxioImager microscope.A2 and AxioCamMRc5 cameras (Zeiss, Germany). On day 6, animals from the second group had no foci of necrosis compared to animals from the first group, and no destruction of the submucosal base was detected. Thus, the use of a combination of aluminum hydroxide and inulin in rats when provoking gastritis has a pronounced therapeutic effect and serves as the basis for investigating the use of this combination in the treatment of erosive and ulcerative lesions of the stomach in dogs and cats.
Keywords
Full Text
Гастрит – это воспаление желудка, которое обычно затрагивает слизистую оболочку органа [1]. На возникновение гастрита влияют такие факторы, как инфекционные агенты, погрешности в питании, использование нестероидных противоспалительных препаратов (НПВП), стресс. Так, Whitfield-Cargile C.M.(2016) отмечает, что ульцерогенный эффект является распространенным побочным действием при применении нестероидных противоспалительных препаратов, который может привести к различным патологиям, от неспецифической боли в области эпигастрия, до эрозивно-язвенного поражения и кровотечения [14].
Ульцерогенный эффект обусловлен ингибированием циклооксегиназы (ЦОГ)[3], важнейшего фермента, который участвует в синтезе простагландинов (PG)[3, 10]. Нестероидные противовоспалительные препараты, содержащие структурные элементы арилуксусной кислоты, такие как индометацин, арилпропионовой кислоты — ибупрофен, кетопрофен и флурбипрофен, или антранилатов — меклофенамовая кислота и аналогичные вещества, подавляют работу обеих изоформ фермента циклооксигеназы (ЦОГ-1 и ЦОГ-2). ЦОГ-1 отвечает за синтез простагландинов — веществ, защищающих слизистую пищеварительного канала. В результате подавления фермента возникает серьёзный побочный эффект в виде снижения продукции слизи в желудке [7].
Engevik A.C. et al. (2019) сообщает о том, что избыточная секреция соляной кислоты может вызвать дополнительные повреждения слизистой оболочки желудка, так как рецептор гистамина 2 (H2R) связывается с гистамином, который вызывает выброс соляной кислоты в просвет желудка [5].
Исходя из патогенеза, препараты, назначаемые при воспалительных заболеваниях желудка, включают в себя ингибиторы протонной помпы (ИПП), антагонисты гистаминовых рецепторов, обволакивающие средства, которые усиливают защиту слизистой оболочки желудка и снижают секрецию соляной кислоты.
ПоданнымTracy L. Hill et al. (2018) сукральфат так же стимулирует высвобождение простагландинов E-1, благодаря которому усиливается кровоток в слизистой оболочке и увеличиваются синтез слизисто-бикарбонатного компонента. На собачьей модели гастрита, спровоцированного повышенной кислотностью, сукральфат был эффективен при восстановлении слизистого барьера [9]. По данным Hedges, K., Odunayo A. (2019) H-2 блокаторы являются препаратами выбора, когда нужно невыраженное подавление кислоты в желудке. Антагонисты Н2-гистаминовых рецепторов эффективны во время сна, так как подавляют базальную секрецию кислоты. При отсутствии возможности для применения ингибиторов протонной помпы (ИПП) у собак с эрозивно-язвенной болезнью, когда необходима агрессивная терапия, было доказано, что непрерывная инфузия фамотидина в дозировке 8 мг/кг/сут обеспечивает эффективное снижение кислотности желудочного сока [8].
Ингибиторы протонной помпы (ИПП) являются препаратами выбора при подтвержденных эрозивно-язвенных поражениях, кровотечениях, вызванными приемом нестероидных противовоспалительных препаратов. Но, применение омепразола и нестероидных противовоспалительных препаратов одновременно, может вызвать повреждение тонкого отдела кишечника [10].
Испытания новых лекарственных препаратов на лабораторных животных (крысах, морских свинках) лежит в основе экспериментальной медицины. Beduleva L. et al. (2023) в своих исследованиях пишет о возможности моделирования аутоиммунного гастрита у крыс линии Вистар путем иммунизации экстрактом слизистой оболочки желудка. При гистологическом исследовании была обнаружена значительная инфильтрация T-лимфоцитами у крыс на 56 и 91 день после первичной иммунизации [2].
Eslami-Farsani M. et al. (2018) в своих исследованиях выпаивали 36-ти самцам линии Вистар, весом 200-250 мг 1 мл 100% этанола натощак [6].
Крысам Sprague-Dawley (120-150 г) предварительно выпаивали стрептомицин с водопроводной водой (5 мг/мл), в течение 3 дней перед первой инокуляцией H. pylori. После этого крысам вводили перорально, через зонд, по 1 мл на крысу суспензии H. pylori (5×108-5×1010 КОЕ/мл) два раза в день с интервалом в 4 часа в течение трех дней подряд. Успешно инфицировали 69,8-83,0% H. pylori с использованием уреазного теста [12].
Таким образом, на данный момент в ветеринарной медицине нет гастропротекторов для применения у животных и все используемые препараты заимствованы из гуманной медицины. Отмечается дефицит информации о побочных реакциях у животных на человеческие гастропротекторы. Поиски новых способов моделирования гастрита важны тем, что каждая методика позволяет смоделировать разные возможные причины гастрита, которые могут быть использованы для изучения патогенеза гастрита у различных животных и исследования новых методов при лечении данной патологии.
Цель исследования – изучить морфологические изменения при применении комплекса гидроокиси алюминия и инулина при экспериментальном гастрите у крыс.
Задачи исследований –доказать терапевтическую эффективность комплекса гидроокиси алюминия и инулина в терапии эрозивно- язвенного гастрита у крыс.
Материалы и методы исследований. Объект исследования – 40 разнополых неинбредных белых крыс пятимесячного возраста, содержащихся в условиях вивария. Исследования реализованы в Ветцентре им. Пирогова г. Ставрополя в 2023 году. При работе с крысами руководствовались документом «Правила проведения работ с использованием экспериментальных животных» (Приказ Министерства здравоохранения СССР № 742 от 13.11.1984 г.) и «Европейской конвенцией о защите позвоночных животных, используемых для экспериментов или в иных научных целях» от 18 марта 1986 г. Конфликт каких-либо интересов, отсутствовал. Крысам однократно, перорально вводили индометацин в дозе 20 мг/кг, разведенный в 1 мл водопроводной воды за 4 часа до кормления.
Далее, всех животных делили на 2 экспериментальные группы по 20 животных в каждой.
Животным из первой группы вводили 1 мл водопроводной воды 2 раза в день, ежедневно, на протяжении 6-ти дней, они служили контролем.
Животным из второй группы через 24 часа перорально через шприц вводили смесь 50мг гидроксида алюминия и 50мг инулина, разведенного в 1 мл водопроводной воды 2 раза в день: в 8:00 и 20:00 каждого дня в течении 6-ти дней. На 3-й и на 6-й день после начала эксперимента 10-ти животным из каждой группы проводили эутаназию путем перерезки спинного мозга под эфирным наркозом и осуществляли отбор гистологических материалов из разных отделов желудка (кардиальный, дно желудка, тело желудка и пилорический отдел), который фиксировали в 10% формалине, в соотношении 1:10. Пробы заливали в парафин, срезы (3-4 мкм) делались на ротационном микротоме, наносились на стекла с адгезивным покрытием (яичный альбумин), окрашивали эозином и гематоксилином и оценивали при световой микроскопии. Цифровые изображения гистопрепаратов получены с использованием микроскопа AxioImager.A2 и фотокамеры AxioCamMRc5 (Zeiss, Germany).
Статистический материал обработан однофакторным дисперсионным анализом и критерием Стьюдента для множественных сравнений на компьютере в программе Primer of Biostatistics.
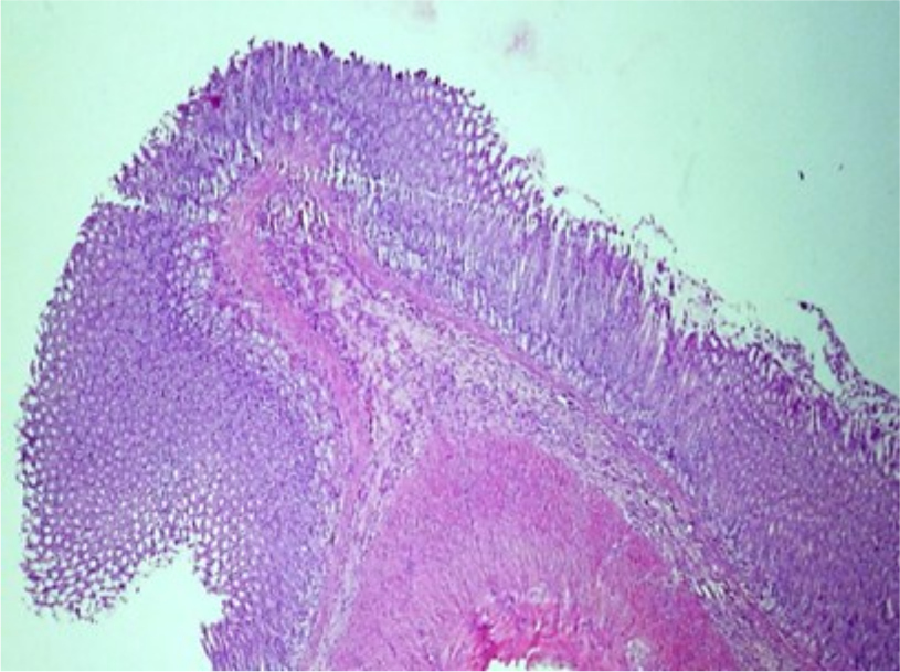
Результаты исследований. При проведении патоморфологического исследования у 10-ти животных из первой группы на 3-й день было выявлено слущивание эпителия слизистой оболочки желудка (Рис.1, 3), расширение просвета желез, очаговая атрофия экзокриноцитов (Рис. 2), на дне желез, часть париетальных экзокриноцитов в состоянии дистрофии с некробиозом – вакуолизацией цитоплазмы, кариопикнозом, границы клеток стерты, гомогенизированы. Васкуляризация стенки желудка активная, крупные сосуды гиперемированы, в подслизистой основе присутствуют единичные эозинофилы.
Рис.1. Слущивание эпителия слизистой оболочки стенки желудка. Ув. ×400
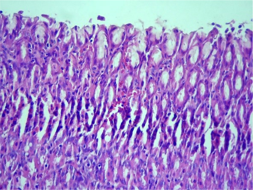
Рис. 2. Атрофия экзокриноцитов желез слизистой оболочки желудка. Ув. ×400
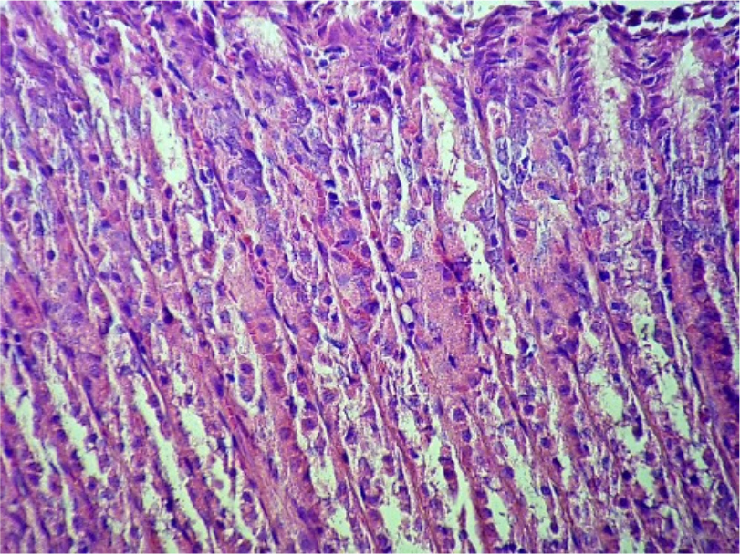
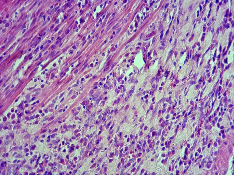
При проведении патоморфологического исследования животных из первой группы на 6-й день было выявлено, что стенка желудка имеет типичное строение, в слизистой оболочке присутствуют крупные фокусы дефекта - глубокого некроза и слущивания эпителия, смешанного со слизью (Рис. 3). Мышечная пластинка слизистой оболочки с очагами отека – мутная, гомогенизирована, имеет рыхлый вид. Подслизистая основа в состоянии деструкции, гомогенизирована, волокна стромы набухшие, разволокнены. Отек между волокнами обильные инфильтраты из эозинофилов, редких фибробластов. Отмечается, что инфильтрация эозинофилов распространяется и в мышечную пластинку (Рис.4). Кровеносные сосуды в состоянии гиперемии, микроциркуляторное русло в состоянии стаза
Рис. 3. Некроз и слущивание эпителия стенки желудка. Ув. ×400
Рис. 4. Отек с воспалительным эозинофильным инфильтратом Ув. ×200
При проведении патоморфологического исследования у животных из второй группы на 3-й день было выявлено, что поверхностный железистый эпителий слизистой оболочки в состоянии атрофии, тотально слущивается (Рис.5). Эпителий, выстилающий железы представлен в основном слизистыми экзокриноцитами, что придает железам пенистый вид, просветы желез расширены. Очагово отмечается атрофия и слущивание эпителия, также присутствуют фокусы гомогенизации желез – отек. Васкуляризация стенки желудка активная. Сосуды гиперемированы, в слизистой оболочке в собственно-слизистом слое отмечается стаз крови в капиллярах.
Рис. 5. Атрофия и слущивание поверхностного эпителия. Ув. ×200
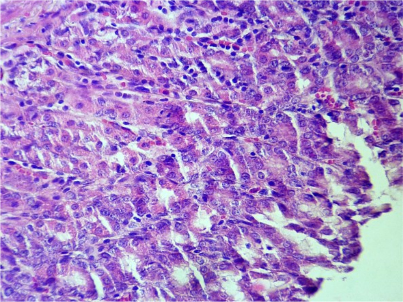
При проведении патоморфологического исследования у животных из второй группы на 6-й было замечено, что слизистая оболочка представлена складками, мышечная оболочка имеет типичное строение. На поверхности слизистой очагово присутствует зернисто-гомогенная масса, состоящая из тотально слущенного поверхностного эпителия, смешанного с большим количеством слизи, а также мелкими нитевидными фрагментами, предположительно растительного корма (Рис. 6). Некоторые участки слизистой в боковой области складок покрыты утолщенным слоем слизи в состоянии отторжения от эпителия. Железы желудка сохранены, содержат большое количество слизистых экзокриноцитов, что придает железам пенистость. Железы за счет развития в них слизистых экзокриноцитов имеют широкие просветы. Также стенка желез выстлана большим количеством париетальных экзокриноцитов.
Рис. 6. Слущенный поверхностный эпителий. Ув. ×100
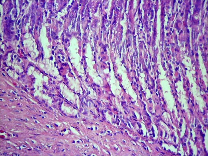
Между железами микроциркуляторное русло в состоянии стаза, повсеместно собственно-слизистый слой инфильтрирован лимфоцитами (Рис. 7)
Рис. 7. Инфильтрация слизистой желудка лимфоцитами. Ув. ×400
Изменения, обнаруженные в желудке у крыс 1 группы на 3-й день, свидетельствуют о дистрофии с некробиозом, кариопикнозе у части париетальных экзокриноцитов. Границы клеток стерты и гомогенезированы.
У второй группы животных на 3-й день обнаружена атрофия и слущивание эпителия, присутствуют фокусы гомогенизации, но некробиоза экзокриноцитов не выявлено.
Изменения на 6-й день у животных из первой группы свидетельствуют о присутствии крупных фокусов глубокого некроза и слущивания эпителия, смешанного со слизью. Подслизистая основа в состоянии деструкции, гомогенезирована.
У животных из второй группы на 6-й день по сравнению с животными из первой группы фокусы некроза отсутствуют, деструкция подслизистой основы не выявлена. Присутствует тотальное слущивание поверхностного эпителия.
Данное сравнение свидетельствует о явном терапевтическом эффекте комплекса инулина и гидроокиси алюминия.
Ранее в терапии эрозивно-язвенных поражений желудка применялся Сукральфат, который является комплексом октасульфата сахарозы и гидроксида алюминия, однако в данный момент Суркальфат не доступен на фармрынке, так как была установлена главенствующая роль H. pylori в патогенезе развития гастрита у людей. Сукральфат образует в очаге поражения стабильный комплекс с белком в поврежденной слизистой оболочке, образуя защитную пленку на поверхности язвы или эрозии [11].
Таблица
Характеристика гистологических образцов желудка крыс по гистопатологическим стандартам для диагностики воспаления пищеварительного канала Всемирной ассоциации ветеринарии мелких животных (M.J. Day et al. (2008)) [4]
Группа | Оцениваемый параметр и степень его градации | ||||||||
Повреждение поверхностного эпителия | Повреждение эпителия желудочной ямки | Фиброз/ атрофия | Интраэпителиальные лимфоциты (лимфоцитов на участок из | Лимфоциты и плазмоциты Lamina propria (клеток в поле зрения при увеличении х40) | Эозинофилы Lamina propria (клеток в поле зрения при увеличении х40) | Нейтрофилы Lamina propria (клеток в поле зрения при увеличении х40) | Лимфофолликулярная гиперплазия (-/+++) | ||
M±m | |||||||||
I | 3 | + | + | - | 3,57±1,13 | 2,14±1,21 | 5,42±1,71 | - | - |
6 | ++ | ++ | + | 7,16±2,13* | 7,14±2,03*/** | 68,28±5,02*/** | - | - | |
II | 3 | + | + | + | 8,85±2,79** | 2,79±10,42 | 2,43±0,81 | - | - |
6 | - | - | - | 11,28±2,28*/** | 2,28±71,42* | 3,17±0,42* | - | - | |
* - разница между 3-м и 6-м днём в группе достоверна (p≤0,01)
** - разница между группами достоверна (p≤0,01)
Комбинация инулин + гидроокись алюминия, применяемая крысам при гастрите, показала достаточно эффективный гастропротективный результат.
Нами отмечена динамика лимфоцитов и эозинофилов в слизистой желудка у животных обеих опытных групп (табл 1). В обеих группах увеличивалось количество интраэпителиальных лимфоцитов. Так, в первой и второй группе на 6-й день этот показатель возрос на 50,14% и 21,55% в сравнении с 3-м днём исследования (p≤0,01). Однако, данный показатель отличался между группами. На 3-й день и 6-й дни исследования он был выше во второй группе на 59,66% и 36,53% соответственно (p≤0,01).
При сравнении количества лимфоцитов в собственной пластинке слизистой обнаружено, что в 1-й группе данный показатель возрос на 6-й день на 70,03% (p≤0,01) в сравнении с 3-м днём исследования, а во второй группе этот показатель оставался без существенных колебаний (табл.), также мы отметили преобладание данного показателя в первой группе на 6-й день исследования в сравнении со второй группой на 68,07% (p≤0,01). В обеих группах увеличивалось количество эозинофилов в собственной пластинке слизистой желудка. Так, в первой и второй группе на 6-й день этот показатель возрос на 92,06% и 23,34% в сравнении с 3-м днём исследования (p≤0,01). Однако, данный показатель также отличался между группами. На 3-й день и 6-й дни исследования он был выше в первой группе на 55,17% и 95,36% соответственно (p≤0,01). Наблюдаемая динамика свидетельствует о менее выраженных клеточных реакциях в слизистой желудка у животных второй опытной группы.
Заключение. Таким образом, применение комбинации гидроксида алюминия и инулина крысам при провокации гастрита имеет эффект, который подтвержден гистопатологически и служит основанием для дальнейших исследований применения данной комбинации при лечении эрозивно-язвенных поражений желудка
у собак и кошек.
About the authors
Roman A. Sherstobitov
Stavropol State Agrarian University
Author for correspondence.
Email: sherstobitov15@yandex.ru
ORCID iD: 0009-0000-1713-7685
graduate student
Russian Federation, StavropolRoman A. Tsygansky
Stavropol State Agrarian University
Email: gypsyrom@mail.ru
ORCID iD: 0000-0002-9643-2080
Doctor of Biological Sciences
Russian Federation, StavropolReferences
- Amorim, I., Taulescu, M. A., Day, M. J., et al. (2016). Canine Gastric Pathology: A Review. Journal of Comparative Pathology, 154, 1, 9-37.
- Beduleva, L., Fomina K., Sidorov A., et al. (2023). Rat Experimental Autoimmune Gastritis Model. A Journal of Molecular and Cellular Immunology, 52, 8. 1023-1038.
- Caron, M.M.J., Emans, P.J., Sanen, K., et al. (2016). The role of prostaglandins and COX-enzymes in chondrogenic differen-tiation of ATDC5 progenitor cells. PLoS One, 11, 4.
- Day, M.J., Bilzer, T., Mansell, J., et al. (2008). Histopathological standards for the diagnosis of gastrointestinal inflammation in endoscopic biopsy samples from the dog and cat: a report from the World Small Animal Veterinary Association Gastrointestinal Standardization Group, Journal of comparative pathology. 137, 1, 1-43.
- Engevik, A. C., Kaji, I. & Goldenring, J. R. (2020). The physiology of the gastric parietal cell, Physiological Reviews, 100, 2, 573-602.
- Eslami-Farsani, M., Moslehi, A. & Hatami-Shahmir, A. (2018). Allantoin improves histopathological evaluations in a rat model of gastritis, Physiology International, 105, 4. 325-334.
- Grattan, B. J., Bennett, T., Starks, M. R. (2018). Diaphragm disease: NSAID-induced small bowel stricture // Case Reports in Gastroenterology, 12, 2, 327-330.
- Hedges, K., Odunayo, A., Price, J. M., et al. (2019). Evaluation of the effect of a famotidine continuous rate infusion on intra-gastric pH in healthy dogs, Journal of Veterinary Internal Medicine, 33, 5. 1988-1994.
- Hill, T. L., Duncan, B., Lascelles, X. & Blikslager A. T. (2018). Effect of sucralfate on gastric permeability in an ex vivo model of stress-related mucosal disease in dogs, Journal of Veterinary Internal Medicine, 32, 2, 670-678.
- Jones, S. M., Gaier, A. [et al.] (2020). The effect of combined carprofen andomeprazole administration on gastrointestinal permeability and inflammation indogs, Journal of Veterinary Internal Medicine, 34, 5, 1886-1893.
- Nagashima, R. (1981). Mechanisms of action of sucralfate, Journal of Clinical Gastroenterology, 3, 2, 117-127.
- Rangarajan, S., Rezonzew, G., Chumley, P., Fatima, H., Golovko, M. Y., Feng, W., ... & Jaimes, E. A. (2020). COX-2-derived prostaglandins as mediators of the deleterious effects of nicotine in chronic kidney disease. American Journal of Physiology-Renal Physiology, 318(2), F475-F485.
- Werawatganon, D. (2014). Simple animal model of Helicobacter pylori infection, World Journal of Gastroenterology, 20, 21, 6429-6024.
- Whitfield-Cargile, C. M., Cohen, N. D., Chapkin, R.S. [et al.] (2016). The microbiota-derived metabolite indole decreases mu-cosal inflammation and injury in a murine model of NSAID enteropathy, Gut Microbes, 7, 3, 246-261.
Supplementary files










