Study of the prenatal effect of estrogen on the postnatal morphology of the testes of offspring
- Authors: Sulaymanova R.T.1
-
Affiliations:
- Private institution educational organization of higher education University «REAVIZ»
- Issue: Vol 8, No 2 (2023)
- Pages: 74-79
- Section: VETERINARY MEDICINE AND ZOOTECHNICS
- URL: https://bulletin.ssaa.ru/1997-3225/article/view/568214
- DOI: https://doi.org/10.55170/19973225_2023_8_2_74
- ID: 568214
Cite item
Full Text
Abstract
The purpose of the research is the theoretical substantiation of the development of methods for correcting violations of generative and endocrine function of the testes of offspring. Female white mongrel laboratory mice weighing 19-21 g were used as experimental animals. The animals were divided into 2 groups: intact and experimental. At the gestation stage of E11.5 pregnancy, intramuscular single injection of a 2% oil solution of the synthetic analogue of estrogen synestrol was performed at the same time of day. The name of the experimental group C-25 is formed taking into account the injected substance and its dose, synestrol 25 mcg/kg, the intact group was not exposed. In the course of research, it was revealed that when the synthetic analogue of estrogen synestrol is introduced into the mother's body, morphological changes in the structures of the testes of the offspring are observed. The results of morphometric analysis of the testes of the offspring of white mongrel laboratory mice with prenatal single administration of the synthetic analogue of estrogen synestrol at a dose of 25 mcg/kg showed changes in the structure of the organ, manifested in the form of: a decrease in the average number of Sertoli cells in C-25 18.4±1.1 (P≤ 0.05), compared with the intact group (20.8±1.9); reduction of the average number of spermatozoa in C-25 175.0±3.8 (P≤0.05), compared with the intact group (196.6±5.3). There was a change in the endocrine function of the testes of the offspring, expressed in a decrease in the average area of the nuclei of Leydig cells, in the intact group the indicator was 6.72±1.78, in the experimental group C-25 – 5.88±1.43 (P≤ 0.05). Exposure to a dose of synestrol at the E11.5 stage of the prenatal period of offspring development leads to persistent morphological changes in the testes of offspring in the postnatal reproductive period of ontogenesis.
Full Text
Нарушение репродуктивного здоровья является одной из актуальных проблем медицины и ветеринарии во всем мире. Изучение развития мужских половых желез всегда привлекало внимание ученых, и это не случайно, мужская половая система и мужская половая железа – яичко (семенник) – представляют собой одну из самых сложных, тесно интегрированных систем в организме человека и млекопитающих [1-4].
За последние годы большое внимание научных исследований обращено на тот факт, что эстрогенактивные вещества негативно влияют на репродуктивную систему человека и животных. Экспериментальные работы ученых выявляли прямое деструктивное воздействие химических веществ на развивающийся плод [5-6].
Дозозависимый эффект уровня эстрогенов на нарастание гиперактивности новорожденных у половозрелых животных депрессивных и тревожных состояний исследовался достаточно большим количеством авторов, подтверждающих неблагоприятное влияние эстрогенактивных веществ на нормальное развитие плода [7-9].
Вопрос взаимоотношения уровня стероидных гормонов материи и плода на сегодняшний день является актуальной проблемой репродуктологии. Экспериментальные работы в этом направлении помогут предупредить морфологические нарушения в мужской репродуктивной системе в постнатальном онтогенезе. Очевиден факт, что основы для развития патологии взрослого организма закладываются на ранних этапах онтогенеза [2]. Исследования доказывают о влияние эстрогенов на формирование яичек плода. При их повышенном содержании появляются кисты в придатке яичка, атрофия семенных пузырьков, простаты и семенников [10]. Клинические данные показывают, что применение во время беременности экзогенных женских половых гормонов значительно повышает у потомства показатель соотношения клеток Лейдига, наблюдается развитие гипоспадий и гипоплазий яичек. Экспериментальные работы доказывают, что эстрогены задерживают формирование яичек у потомства [4].
Цель исследований – теоретическое обоснование разработки методов коррекции нарушений генеративной и эндокринной функции семенников потомства.
Задачи исследований – проанализировать морфофункциональное состояние семенников потомства белых беспородных мышей, матерям которых во время беременности вводили синтетический аналог эстрогена синэстрол.
Материал и методы исследований. В качестве экспериментальных животных использовали самок белых беспородных лабораторных мышей массой 19-21 г. Животные были разделены на 2 группы: интактную и экспериментальную. На стадии гестации Е 11.5 беременности в одно и то же время суток выполнено внутримышечное однократное введение 2% масляного раствора синтетического аналога эстрогена синэстрола. Расчеты эффективности дозы препарата производили в соответствии с коэффициентом для перерасчета доз веществ в мкг/кг для мышей [11-12]. Название группы образуется с учетом вводимого вещества и его дозы, синестрол 25 мкг/кг – С-25, интактная группа не подвергалась воздействию. Полученное потомство самцов выводили из опыта на 90-е сутки в одну и ту же фазу – диэструс [13-14] и усыпляли в соответствии с Директивой 2010/63/EU Европейского парламента и Совета Европейского Союза от 22 сентября 2010 года по охране животных, используемых в научных целях и рекомендациями других международных, российских и институциональных правил в области биоэтики. Для оценки морфологических изменений извлекали семенник потомства. Органы фиксировали в 10% нейтральном забуференном формалине в течение 24 часов, подвергали стандартной гистологической обработке.
Зафиксированные органы были разрезаны однотипно по центру, структурные компоненты семенников были изучены на стандартной площади среза органов. Измерения средних параметров морфометрических структур семенников потомства проводились на всей площади среза органа [15]. Морфометрию и визуализацию гистологических препаратов семенников потомства производили с использованием инвертированного биологического микроскопа для лабораторных исследований Axioobserver со штативом D1 компании-производителя Carl Zeiss Microscopy GmbH (Германия) со специализированным программным обеспечением ZEN 2018.
Для подсчета структурных элементов в гонадах потомства использовался иммерсионный объектив 90х на стандартных полях зрения [15]. Фотосъемку гистологических препаратов производили цифровой камерой AxioCam MRc5 (ZEISS, Япония) при увеличении x100.
Статистическую обработку осуществляли с использованием программы Statistica 7.0 (StatSoft, США). По каждому параметру вычисляли среднее арифметическое значение и его стандартную ошибку (М ± SD). Достоверность изменений оценивали с помощью критерия Стьюдента, различия определяли при достигнутом уровне значимости Р≤0,05.
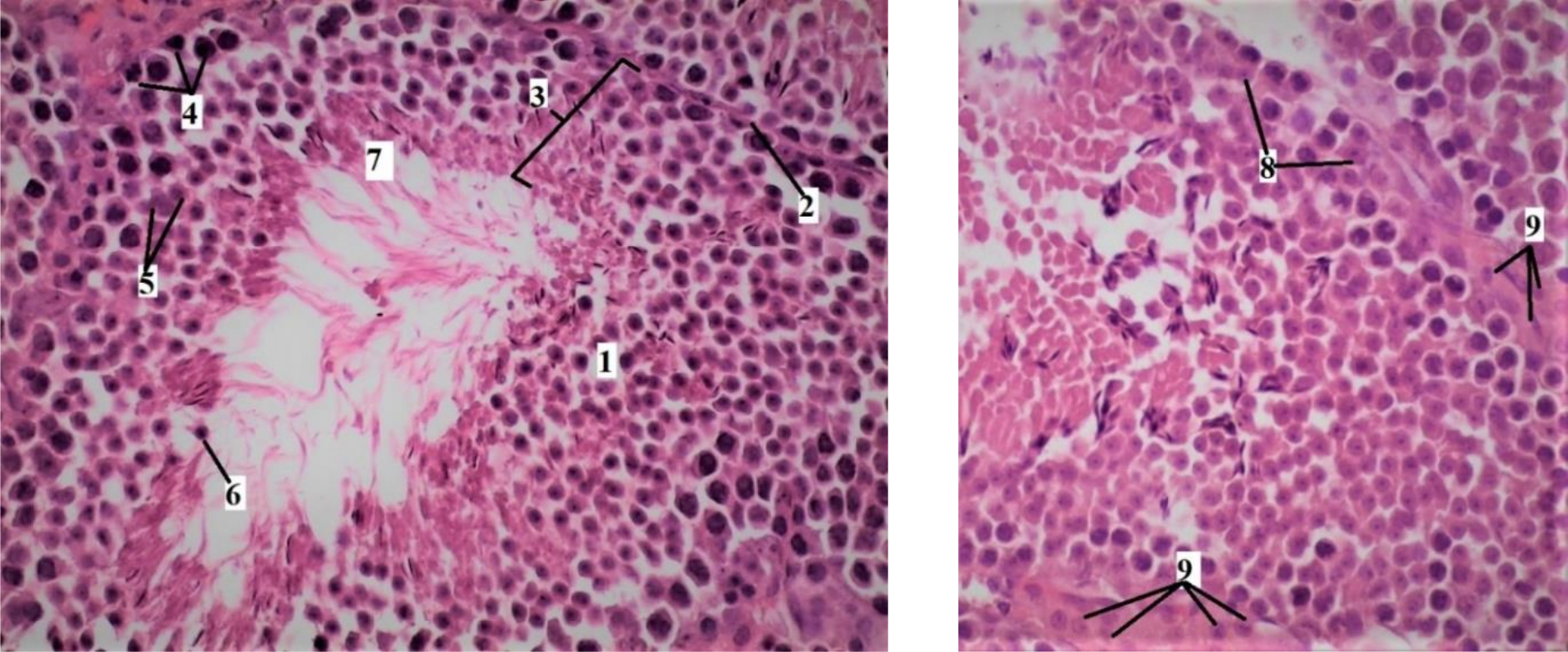
Результаты исследований. Результаты морфометрического анализа семенников потомства белых беспородных лабораторных мышей при пренатальном однократном введении синтетического аналога эстрогена синэстрола в дозе 25 мкг/кг показали изменения в строении органа, проявляющиеся в виде: уменьшения среднего количества клеток Сертоли С-25 18,4±1,1 (Р≤0,05), по сравнению с интактной группой (20,8±1,9); уменьшения среднего количества сперматозоидов С-25 175,0±3,8 (Р≤0,05), по сравнению с интактной группой (196,6±5,3) (рис. 1, 2).
Рис. 1. Семенник потомства интактной группы:
1 – извитой семенной каналец; 2 – базальная мембрана; 3 – сперматогенный эпителий; 4 – сперматогонии; 5 – сперматоциты; 6 – сперматиды; 7 – сперматозоиды; 8 – клетки Сертоли; 9 – клетки Лейдига (окраска гематоксилином и эозином. х100)
Наблюдалось изменение в эндокринной функции семенников потомства, выражающееся в уменьшении средней площади ядер клеток Лейдига. В интактной группе показатель составил 6,72±1,78, в экспериментальной группе С-25 – 5,88±1,43 (Р≤0,05).
Рис. 2. Семенник потомства экспериментальной группы С-25:
1 – базальная мембрана; 2 – сперматогенный эпителий; 3 – сперматогонии; 4 – сперматоциты; 5 – сперматиды; 6 – сперматозоиды; 7 – кровеносный сосуд; 8 – клетка Сертоли; 9 – клетки Лейдига (окраска гематоксилином и эозином. х100)
Среднее количество извитых семенных канальцев в интактной группе составило 28,8±2,6, в экспериментальной С-25 – 28,4±2,1. Средняя площадь поперечного сечения извитого семенного канальца в интактной группе показал 1696,20±562,39, С-25 – 1515,61±280,17. Средний диаметр извитых семенных канальцев в интактной группе составил 22,38±4,36, С-25 – 19,99±2,98. Средняя толщина сперматогенного эпителия в интактной группе 4,41±0,86, С-25 – 4,45±0,47. Среднее количество сперматогониев в эпителии извитого семенного канальца в интактной группе составило 26,4±1,1, в экспериментальной группе С-25 – 25,4±1,1. Среднее количество сперматоцитов в интактной группе составило 32,6±2,1, С-25 – 31,0±1,6. Среднее количество сперматид в эпителии извитого семенного канальца составило в интактной группе 28,6±1,7, в опытной группе С-25 – 27,2±0,8.
Заключение. Анализ морфофункционального состояния семенников потомства половозрелых самцов, матерям которых во время беременности вводили синтетический аналог эстрогена синэстрол в дозе 25 мкг/кг, показал изменения в генеративном и в эндокринном аппарате гонад потомства, выражающиеся в уменьшении среднего количества клеток Сертоли, уменьшении среднего количества сперматозоидов, уменьшении средней площади ядер клеток Лейдига. Эти изменения представляют собой достоверные критерии, отражающие патологические структурно-функциональные изменения в семенниках потомства в виде снижения продукции половых клеток в просвете канальца, а также угнетения регуляции интенсивности процессов сперматогенеза.
Представленное морфофункционального исследование является теоретическим обоснованием для разработки методов коррекции нарушений генеративной и эндокринной функции семенников потомства.
About the authors
Rimma T. Sulaymanova
Private institution educational organization of higher education University «REAVIZ»
Author for correspondence.
Email: rimma2006@bk.ru
ORCID iD: 0000-0002-1658-9054
candidate of Biological Sciences, Associate Professor
Russian Federation, St. PetersburgReferences
- Kashchenko, S. A. (2010). Morphological analysis of spermatogenesis of mature rats. Ukrainskij morfolo-gicheskij al'manah (Ukrainian Morphological Almanac), 8 (4), 76–77 (in Russ.).
- Sizonenko, M. L. (2015). The role of chronic experimental lesions of the hepatobiliary system of the mother of various genesis in the violation of the morphofunctional formation of the male reproductive sys-tem of offspring. Doctor’s thesis. Chelyabinsk (in Russ.).
- Kartashev, A. G. (2010). The influence of chronic factors in the postnatal ontogenesis of animals. Tomsk: V-Spektr (in Russ.).
- Las'kov, D. S. (2014). Features of morphofunctional formation of the generative function of the testes in the offspring of female rats with chronic experimental liver damage alcoholic and mesenchymal liver damage. Candidate’s thesis. Orenburg (in Russ.).
- Peluso, M. E. (2014). Bisphenol-A exposures and behavioural aberrations: median and linear spline and meta-regression analyses of 12 toxicity studies in rodents. Toxicology, 5 (325), 200–208.
- Panchenko, I. A., Brusnev, A. B. & Garmash, O. N. (2019). Male reproductive health service on the ex-ample of the regional specialized center. Eksperimental'naya i klinicheskaya urologiy (Experimental and clinical urology), 2, 20–25. doi: 10.29188/2222-8543-2019-11-2-20-24 (in Russ.)
- Christiansen, S., Axelstad, M. & Boberg, J. et al. (2014). Low-dose effects of bisphenol A on early sexual development in male and female rats. Reproduction, 147 (4), 477–487.
- Ponzi, D., Gioiosa, L., Parmigiani, S. & Palanza, P. (2020). Bisphenol A on Sex Differences in Emotional Behavior and Central Alpha2-Adrenergic Receptor BindingInt. J Mol Sci, 21 (9), 3269. doi: 10.3390 / ijms21093269.
- Du, X., Zhang, H., Liu, Y., Yu, W., Huang, C. & Li, X. (2014). Perinatal exposure to low-dose methox-ychlor impairs testicular development in C57BL/6 mice. PLoS One, 9(7), 103016. doi: 10.1371/journal.pone.0103016.
- Bhartiya, D. & Kaushik, A. (2021). Testicular Stem Cell Dysfunction Due to Environmental Insults Could Be Responsible for Deteriorating Reproductive Health of Men. Reprod Sci, 28(3), 649–658. doi: 10.1007/s43032-020-00411-3.
- Arzamascev, E. V., Gus'kova, T. A. & Berezovskaya, I. V. et al. (2005). Methodological guidelines for the study of the general toxic effect of pharmacological substances. Eds. R. U. Habrieva. Moscow: Medicina (in Russ.).
- Gus'kova, T. A. (2010). Preclinical toxicological examination of medicines as a guarantee of the safety of their clinical trials. Toksikologičeskij vestnik (Toxicological Review), 5 (104), 2–6 (in Russ.).
- Zapadnyuk, I. P., Zapadnyuk, V. I., Zahariya, E. A. & Zapadnyuk, B. V. (1983). Laboratory animals. Breeding, maintenance, use in the experiment. Kiev: Vishcha shkola (in Russ.).
- Cora, M. C., Kooistra, L. & Travlos, G. (2015). Vaginal Cytology of the Laboratory Rat and Mouse. Re-view and Criteria for the Staging of the Estrous Cycle Using Stained Vaginal Smears. Toxicologic Pa-thology, 43(6), 776–793. doi: 10.1177/0192623315570339.
- Avtandilov, G. G. (1990). Medical morphometry. Moscow: Medicina (in Russ.).
Supplementary files





