Electrochemotherapy in the treatment of hemangiosarcoma in dogs (clinical case)
- Authors: Grechko V.V.1, Ovchinnikov D.K.1
-
Affiliations:
- Omsk State Agrarian University named after P.A. Stolypin
- Issue: Vol 10, No 1 (2025)
- Pages: 79-85
- Section: VETERINARY MEDICINE AND ZOOTECHNICS
- URL: https://bulletin.ssaa.ru/1997-3225/article/view/683653
- DOI: https://doi.org/10.55170/1997-3225-2025-10-1-79-85
- ID: 683653
Cite item
Full Text
Abstract
The article describes a clinical case of hemangiosarcoma treatment in a 7-year-old Labrador dog, local tumor control using intravenous bleomycin and subsequent tumor removal, as well as combined administration of calcium gluconate directly into the area of the tumor node. Hemangiosarcoma is a malignant tumor that is quite common in dogs in middle and older age. Labradors, German Shepherds, and Retrievers are the most susceptible to this disease. The causes of the identified cancer are not yet known, but it is safe to say that the main organs that are affected more often in an animal are the spleen, right atrium, skin and subcutaneous tissue, omentum, mesentery, liver. In 25% of dogs with a spleen tumor, the heart is affected. Tumors affecting only the epithelium of the skin are conditionally malignant. Less often – lungs, kidneys, mouth, muscles, bones, bladder, left ventricle, adrenal glands, brain, diaphragm, peritoneum, lymph nodes, tongue and fingers. Hemangiosarcoma is a highly aggressive tumor that metastasizes hematogenously or implantationally. Dogs without treatment live up to 3 months, with treatment – up to 6 months, 10% of patients survive a year. Along with the treatment of hemangiosarcoma, the diagnostic process is described, since the main problem is to differentiate hematoma - hemangioma – hemangiosarcoma. The difficulty lies in the fact that cytological examination is uninformative due to dilution of the sample with blood, and fine needle aspiration biopsy often gives false negative results, since there are extensive areas of hematomas and normal blood vessels inside the tumor. As a result of the research, the authors reduced the volume of tumor masses by 70% due to the use of electrochemotherapy procedure "Bleomecin" and eletroporation with calcium glucanate.
Keywords
Full Text
Мягкотканные саркомы – это название группы опухолей, происходящих из эмбриональной мезодермы. Иногда эти опухоли называют веретеноклеточными саркомами. Их можно обнаружить в любом участке тела. Чаще всего мягкотканные саркомы поражают подкожною клетчатку, но также могут встречатся в желудочно-кишечном тракте, мышцах, мочеполовой системе. Эти опухоли обычно рассматривают в одной группе, так как они имеют сходное биологическое поведение и прогноз. К ним применяют одинаковые методы лечения. Название каждой конкретной опухоли зависит от клетки ее происхождения, что выявляют путем иммуногистохимического анализа. Если определить клетку-прародительницу невозможно, говорят о недифференцированной саркоме [1, 2].
Гемангиосаркома (HAS, злокачественная гемангиоэпителиома, ангиосаркома) – опухоль, происходящая из эндотелия сосудов. Чаще всего встречается у собак – 5% первичных некожных опухолей, 12-21% всех мезенхимальных опухолей, 2,3-3,6% кожных опухолей, 45-51% опухолей селезенки. У кошек гемангиосаркома встречается реже – 0,5-2% всех опухолей. Возраст больных – средний и старше. Предрасположены ретриверы золотистые и лабрадоры, немецкие овчарки. Самцы болеют чаще. Причинами появления HAS у человека считают отравление диоксидом тория, мышьяком, хлорвинилом, андрогены, облучение грудной полости, у собак – облучение в пренатальный и постнатальный период. Другие причины пока еще не известны. Кожная форма чаще встречается у светлых короткошерстных собак. У собак поражаются - селезенка, правое предсердие, кожа и подкожная клетчатка, печень; реже – легкие, почки, ротовая полость, мышцы, кости, мочевой пузырь, левый желудочек, язык и пальцы [3, 4, 5, 6].
Гемангиосаркома – высокоагрессивная опухоль, метастазирует гематогенно или имплантационно при разрывах. Основные места поражения: печень, сальник, брыжейка и легкие, у 25% собак с опухолью селезенки поражается сердце. Реже опухоль метастазирует в почки, мышцы, брюшину, лимфоузлы, надпочечники, мозг и диафрагму. Самое часто встречающееся метастатическое поражение мозга у собак – именно гемангиосаркома. Опухоли, затрагивающие только эпителий кожи, условно злокачественны [7, 8, 9, 10].
Прогноз в общем неблагоприятный. Собаки без лечения живут до 3 месяцев, с лечением – до 6 месяцев, 10% больных переживают год.
Материалы и методы исследований. Материалом послужило заболевание – гемангиосаркома мягких тканей у собаки породы лабрадор, возраст 7 лет. Для диагностики новообразования использовали цитологический метод диагностики – тонкоигольная аспирационная биопсия окраска Азур-Эозином по Романовскому. Цитологические препараты изучали с помощью светового биологического микроскопа МИКМЕД 5.
Результаты исследований. При первичном приеме хозяин жаловался на болезненность левого слухового прохода, множество выделений и наличие «опарышей» в наружном слуховом проходе, не большой отек морды на одноименной стороне.
В результате осмотра обнаружено гнойно-геморагические выделения, визуализация барабанной перепонки затруднена из-за большого количества личинок мух.
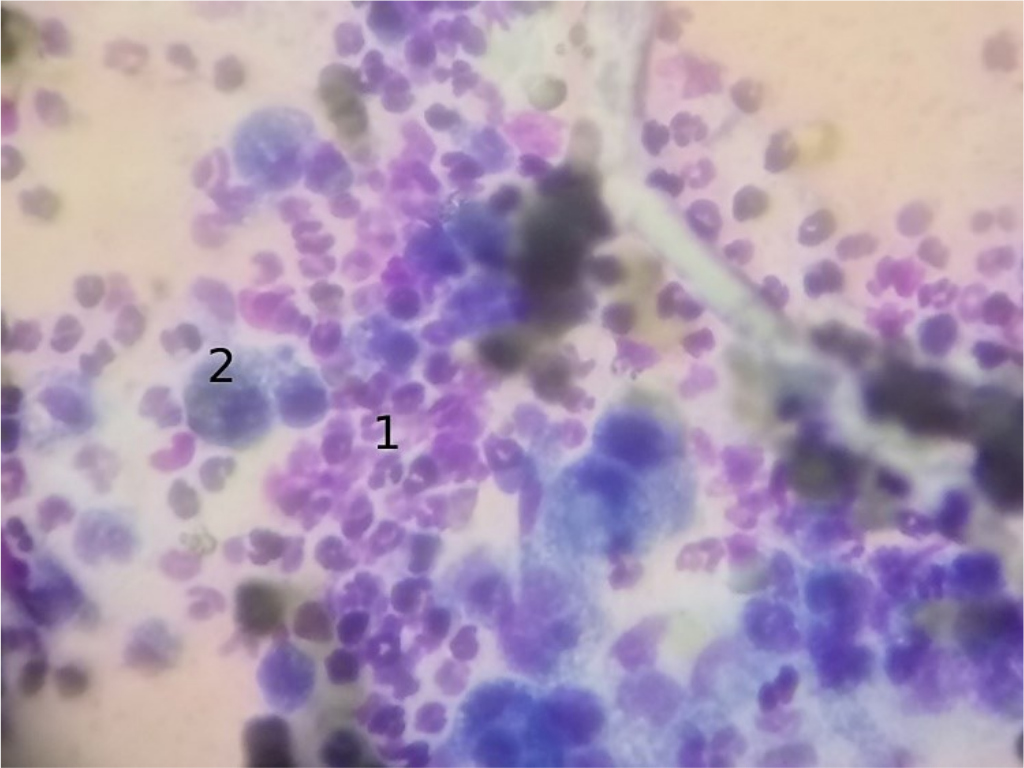
По результатам цитологического исследования: материал обильного цитоза представлен как дегенеративными сегментоядерными нейтрофилами, так и недегенеративными формами. Фагоцитарная активность встречается, т.к. присутствуют множественные макрофаги. Выраженная контаминация клетками периферической крови. Обнаружены клетки лимфоидной ткани разной степени зрелости, как интерпретируемые формы, так и в состоянии разрушения (Рис. 1).
Рис. 1. Мазок отпечаток содержимого наружного слухового прохода, лабрадор, возраст 7 лет, окраска Азур-эозин по Романовскому, увеличение х400: 1 – дегенеративные сегментоядерные нейтрофилы; 2 – макрофаги
По результатам исследования поставлен диагноз: острый гнойный отит и вторичное инфицирование личинками. Назначено следующее лечение: Ухо промывать 2% раствором уксусной кислоты или ПреОтик раз в
7-10 дней в большом количестве. Местные капли Суролан по 5 капель 2 раза в сутки 10 дней. Сисмтемно Кладакса 15 мг/кг 2 раза в сутки. На осмотр через 10 дней, не отменяя лечения.
Через 10 дней отмечается значительное улучшение и заживления наружного слухового прохода, выделений нет, личинок нет, нет неприятного запаха, собака дает пальпировать ухо. Но под ухом отмечается значительное увеличение мягких тканей. При пальпации упругое, умеренно болезненное, горячее. Назначено дополнительное исследование: цитология с отекших тканей, рентгенологическое исследование.
В результате цитологического исследования в основном образце содержали лишь кровь, и только в одном из 7 образцов картина такая же, как и описана выше при исследовании наружного слухового прохода (Рис. 2).
Рис. 2. ТИАБ новобразования основания ушной раковины, лабрадор, возраст 7 лет, окраска Азур-эозин по Романовскому, увеличение х400: 1 – дегенеративные сегментоядерные нейтрофилы; 2 – макрофаги; 3 – фагоцитоз лейкоцитов
По результатам рентгенологического исследования: визуализация объемного мягкотканого новообразования средней рентген плотности в основании левой ушной раковины, не имеющих четких границ размером примерно 90×70 мм; Повышение периостальной реакции ростральной части левой скуловой дуги; минерализация слухового прохода на всем его протяжении; повышение рентген плотности левого барабанного пузыря, что характерно для склероза/кальциноза, не исключен средний отит (Рис. 3).
Рис. 3. Рентгенограмма, лабрадор, возраст 7 лет: 1 – мягкотканое новообразование; 2 – минерализация слухового прохода; 3 – повышение рентгенплотности левого барабанного пузыря
Была увеличена доза антибиотика – кладакса 25мг/кг 2 раза в сутки, а также назначен общий и биохимический анализ крови, т.к. собаку стали готовить к промыванию полости среднего уха, а в будущем удаление слухового прохода и буллотомией, после снятия острого воспаления. В связи с тем, что пациент находился на передержке, у куратора не было возможности проходить все обследования, поэтому лечение пациента проводилось вслепую.
В ходе выполнения процедуры невозможно было визуализировать барабанную перепонку что бы ввести за нее катетер для промывания из-за сдавливания прохода опухолевыми массами, поэтому приняли решение опорожнить содержимое опухоли (опухоль заполнена кровью), предполагая, что уменьшится давление на проход и барабанная перепонка будет доступна для манипуляции. После разреза и опорожнения полости, стала доступна пальпации непосредственно сама опухоль, но барабанная перепонка так, же не доступна. И кровотечение из разреза не останавливалось, несмотря на применения кровоостанавливающих препаратов (транексановая кислота), гемостатических губок, давящей повязки и холода. Кровотечение из разреза не остановилось и через 4 дня.
По результатам цитологии из опухоли: на фоне выраженной гемодилюции, препараты скудного цитоза. Представлены преимущественно клетками следующего морфологического строения: мезенхимальные клетки веретеновидной формы, цитоплазма от большого объема до скудного, соответственно ядерно-цитоплазматическое соотношение от низкого до высокого, множество эозинофильного материала вокруг клеток. Мелкоточечная вакуолизация цитоплазмы. Ядра округлые, овальные, встречаются неправильной формы. Ядра ярко окрашены, крупные с более темными и светлыми ядрышками (Рис. 4, 5).
Рис. 4. ТИАБ новообразования, лабрадор, возраст 7 лет окраска Азур-эозин по Романовскому, увеличение х400: 1 – веретенообразные мезенхимальные клетки; 2 – ядро с нуклеолами в количестве 4 штуки; 3 – разрушенные эритроциты
Рис. 5. ТИАБ новообразования, лабрадор, возраст 7 лет окраска Азур-эозин по Романовскому, увеличение х400: 1 - веретенообразные мезенхимальные клетки; 2 -эритроциты
Критерии злокачественности: Анизоцитоз, анизокариоз, вариации в ядерно-цитоплазматическом соотношении, ядрышки в ядрах, молдинг ядер, двуядерные клетки.
Делаем заключение, что это саркома мягких тканей (гемангиосаркома - злокачественная опухоль, агрессивная). Для верификации: гистологическое исследование, иммуногистохимия, абдоминальное УЗИ. Лечение: агрессивное хирургическое иссечение 1-2 см свободного края, 1 фасция в глубину, если мышца- ампутация.
Химиотерапия при кожных опухолях не рекомендуется. Прогноз неблагоприятный: без лечения до 3-х месяцев, с лечением до 6 месяцев; 10% переживают год.
Из-за невозможности хирургического лечения, был предложен вариант о проведении электрохимиотерапии с помощью препарата «блеомицин» и внутри опухолевое введение электропорация глюконата кальция. В зарубежной литературе описан случай лечения подобного заболевания одной собаки в возрасте 10 лет, продолжительность ответа была 7 месяцев, отмечался частичный ответ и уменьшение объема опухоли на 76,92%.
После премедикации и седации пациента, введен внутривенно в дозе 15 МЕ/м2 противоопухолевый антибиотик «блеомицин», а глюконат кальция был введен непосредственно в основание опухоли в объеме 40% от объема опухоли. После поверхность обработали водным гелем для улучшения проводимости электрических импульсов. Проведено 100 разрядов L-образным электродом (Рис. 6, 7).
Рис. 6. Гемангиосаркома мягких тканей у собаки породы лабрадор возраст 7 лет, перед проведением лечебной процедуры: слева – высота опухоли 4,5 см; справа – длина 11 см
Рис. 7. Гемангиосаркома мягких тканей у собаки породы лабрадор возраст 7 лет: слева – введение глюконата кальция в основание опухоли; справа – проведение электропорации L-образным электродом
После проведение процедуры через 48 часов отмечается обильная экссудация и выделение гнойных масс, рану промыли большим количеством антисептика (фурацилина) и местно применили мазь левомеколь. При пальпации отмечается болезненность, в связи с этим для контроля боли и воспаления пациенту назначен мелоксикам 0,2 мг/кг и амоксиклав 20 мг/кг. Через 7 дней после процедуры наблюдали положительную динамику – отек уменьшился, кровотечение остановилось, поведение удовлетворительное (Рис. 8).
Рис. 8. Собака породы лабрадор возраст 7 лет. Внешний вид через 7 дней после проведения процедуры ЭХТ, фото куратора собаки
Далее куратор перестал выходить на связь, и не приедоставлял информации о ходе лечения и самочуствии пациента. Спустя 30 дней куратор привел собаку на осмотр. Состояние пациента оценивается как средней тяжести: аппетит отсутствует, полиурия, полидипсия, рвота, постоянная гнойная экссудация из области опухоли. По результатам анализов крови, у пациента острая почечная недостаточность (не диагностированная хроническая болезнь почек или вызванная длительным неконтролируемым приемом негормональных противовоспалительных препаратов). Несмотря на все принятые лечебные меры, пациент скончался на третьи сутки терапии (Рис. 9, Табл. 1, 2).
Рис. 9. Собака породы лабрадор, возраст 7 лет. Внешний вид через 30-35 дней после проведения процедуры ЭХТ
Таблица 1 Биохимический анализ крови пациента |
| Таблица 2 Клинический анализ крови пациента | ||||
Показатель | Референтные | Результаты |
| Вид исследования | Референтные | Результаты |
АЛТ, мкмоль/л | 6-76 | 28 |
| RBC, ×1012/L | 5,5-8,5 | 4.35↓ |
АСТ, мкмоль/л | 10-48 | 56↑ |
| HGB, g/L | 110-190 | 96↓ |
Щелочная фосфотаза | 8-185 | 313↑ |
| HCT, % | 39,0-56,0 | 28.1↓ |
Глюкоза | 3,4-6,1 | 4,8 |
| MCV, FL | 62,0-72,0 | 69,5 |
Общий билирубин | 5,0-21,0 | 7,9 |
| MCH, pg | 20,0-25,0 | 21,5 |
Общий белок | 50,0-85,0 | 61,9 |
| PLT, ×103/uL | 117-460 | 139 |
Альбумин | 22,0-39,0 | 16.5↓ |
| WBC, ×109/L | 6,0-17,0 | 21.1↑ |
Мочевина | 2,1-12,2 | 43.8↑ |
| Lymph, ×109/L | 0,8-5,1 | 4,0 |
Креатинин | 40,0-140,0 | 2212.7↑ |
| Mon, ×109/L | 0,0-1,8 | 1,3 |
Кальций | 2,00-3,30 | 2,47 |
| Gran, ×109/L | 4,0-12,6 | 17.7↑ |
Фосфор | 1,10-3,00 | 8,39↑ |
| Lymph, % | 12,0-30,0 | 11.1↓ |
|
|
|
| Mon, % | 2,0-9,0 | 6,7 |
|
|
|
| Gran, % | 60,0-83,0 | 84.0↑ |
Заключение. Не смотря на летальный исход, связанный с недостаточной диагностикой и не контролируемым лечением (куратор не выходил на связь), сама процедура электрохимиотерапии «Блеомецина» и элетропорации глюканатом кальция показала себя как многообещающая. В процессе лечения, за одно пременение, удалось уменьшить объем опухолевых масс на 70 %. Возможно, при повторном проведении процедур удалось бы стабилизировать рост опухоли и получить более стойкий терапевтический эффект. Требуется дальнейшее исследование.
About the authors
Viktor V. Grechko
Omsk State Agrarian University named after P.A. Stolypin
Author for correspondence.
Email: vg_1988@mail.ru
ORCID iD: 0000-0001-7980-8739
Candidate of Veterinary Sciences, Associate Professor
Russian Federation, OmskDmitry K. Ovchinnikov
Omsk State Agrarian University named after P.A. Stolypin
Email: biolog-ivm@mail.ru
ORCID iD: 0000-0003-0077-1860
Candidate of Veterinary Sciences, Associate Professor
Russian Federation, OmskReferences
- Baez, J. L., Hendrick, M. J., Shofer, F. S., Goldkamp, C., & Sorenmo, K. U. (2004). Liposarcomas in dogs: 56 cases (1989-2000). Journal of the American Veterinary Medical Association, 224(6), 887-891.
- Baker-Gabby, M., Hunt, G. B. & French, M. P. (2003). Soft tissue sarcomas and mast cell tumors in dogs; clinical course and response to surgery. Australian Veterinary Journal, 81(12), 732-738.
- Craig, L. E., Julian, M. E., & Ferracone, J. D. (2002). The diagnosis and prognosis of synovial tumors in dogs: 35 cases. Veter-inary Pathology, 39(1), 66-73.
- Elmsley, R. E., Glave, P. & Doe, S. W. (2008). Metronomic therapy with cyclophosphamide and piroxicam effectively slows down tumor recurrence in dogs with incompletely removed soft tissue sarcomas. Journal of Veterinary Internal Medicine, 22(6),
- -1379.
- Goldschmidt, M. H., & Hendrick, M. J. (2002). Tumors of the skin and soft tissues.
- Koontz, K. A., Dernell, W. S., Powers, B. E., Dewitt, K., Straw, R. K. & Withrow, S. J. (1997). Prognostic factors in the surgical treatment of soft tissue sarcomas in dogs: 75 cases (1986-1996). Journal of the American Veterinary Medical Association, 211(9), 1147-1151.
- McEntee, M. K., Page, R. L., Moldin, G. N. & Thrall, D. E. (2000). The results of irradiation of infiltrative lipoma in 13 dogs. Veterinary Radiology and Ultrasound, 41(6), 554-556.
- McEntee, M. C., & Thrall, D. E. (2001). Computed tomographic imaging of infiltrative lipoma in 22 dogs. Veterinary Radiology & Ultrasound, 42(3), 221-225.
- McKnight, J. A., Mauldin, G. N., McEntee, M. C., Meleo, K. A. & Patnaik, A. K. (2000). Radiation treatment for incompletely re-sected soft-tissue sarcomas in dogs. Journal of the American Veterinary Medical Association, 217(2), 205-210.
- Miller, M. A., Nelson, S. L., Turk, J. R., Pace, L. W., Brown, T. P., Shaw, D. P., ... & Gosser, H. S. (1991). Cutaneous neo-plasia in 340 cats. Veterinary Pathology, 28(5), 389-395.
- Bacon, N. (2011). Soft tissue sarcomas. BSAVA manual of canine and feline oncology, 178-190.
- Nicholas, J. & Bacon, M. A. (2012). Resection and reconstructive techniques for soft tissue Sarcomas in dogs. University of Florida College of Veterinary Medicine Dept. of Small Animal Clinical Sciences.
- Madewell, B. R. & Theilen, G. H. (1987). Tumors of the skin and subcutaneous tissues. Veterinary cancer medicine,
- -248.
- Vail, D. M., Powers, B. E., Getzy, D. M., Morrison, W. B., McEntee, M. C., O’Keefe, D. A., ... & Withrow, S. J. (1994). Evalua-tion of prognostic factors for dogs with synovial sarcoma: 36 cases (1986–1991). Journal of the American Veterinary Medical Association, 205(9), 1300-1307.
Supplementary files












